切换至 "中华医学电子期刊资源库"

中华心脏与心律电子杂志 ›› 2025, Vol. 13 ›› Issue (04) : 193 -203. doi: 10.3877/cma.j.issn.2095-6568.2025.04.001

标准与规范

经导管三尖瓣环成形术中国专家共识(试行版)
中国医师协会心血管内科医师分会结构性心脏病学组 国家放射与治疗临床医学研究中心 苏州工业园区东方华夏心血管健康研究院   
  • 收稿日期:2025-09-01 出版日期:2025-12-25

Chinese expert consensus on transcatheter tricuspid valve annuloplasty ( pilot version) Structural Heart Disease Group, Chinese College of Cardiovascular Physician, National Clinical Research Center for Interventional Medicine, China Heart House Corresponding authors:Zhou Daxin, Email:zhou.daxin@zs-hospital.sh.cn; Wu Yongjian Email: yongjianwu_nccd@163.com; Ge Junbo, Email:jbge@zs-hospital.sh.cn

Structural Heart Disease Group, Chinese College of Cardiovascular Physician, National Clinical Research Center for Interventional Medicine, China Heart House   

  • Received:2025-09-01 Published:2025-12-25
引用本文:

中国医师协会心血管内科医师分会结构性心脏病学组 国家放射与治疗临床医学研究中心 苏州工业园区东方华夏心血管健康研究院. 经导管三尖瓣环成形术中国专家共识(试行版)[J/OL]. 中华心脏与心律电子杂志, 2025, 13(04): 193-203.

Structural Heart Disease Group, Chinese College of Cardiovascular Physician, National Clinical Research Center for Interventional Medicine, China Heart House. Chinese expert consensus on transcatheter tricuspid valve annuloplasty ( pilot version) Structural Heart Disease Group, Chinese College of Cardiovascular Physician, National Clinical Research Center for Interventional Medicine, China Heart House Corresponding authors:Zhou Daxin, Email:zhou.daxin@zs-hospital.sh.cn; Wu Yongjian Email: yongjianwu_nccd@163.com; Ge Junbo, Email:jbge@zs-hospital.sh.cn[J/OL]. Chinese Journal of Heart and Heart Rhythm(Electronic Edition), 2025, 13(04): 193-203.

三尖瓣反流(TR)是常见的瓣膜性心脏病之一,严重的 TR 与患者不良预后相关。近年来,多项经导管三尖瓣介入治疗(TTVI)技术,尤其是经导管三尖瓣环成形(TTVA)技术取得重大突破。为了促进 TTVA 技术在我国安全规范、健康地发展,本共识从技术背景、团队构成与临床评估、影像学评估、手术流程、并发症防治、术后用药、随访等方面详细介绍了 TTVA 技术,并提炼梳理了 10 个核心观点,有利于读者迅速掌握共识的精髓要点。

图1 经导管三尖瓣环夹合成形系统(TTVAC)结构示意图
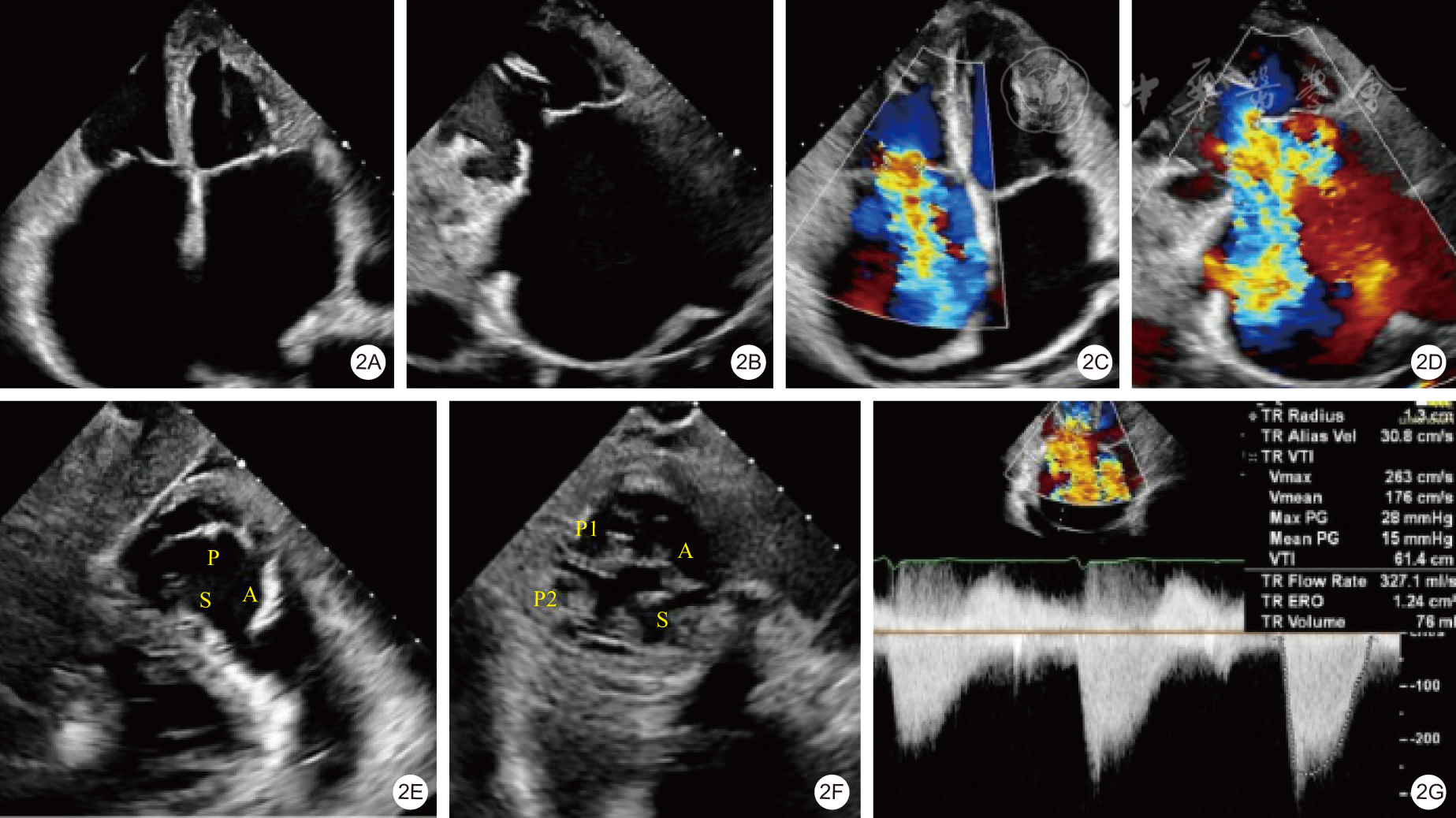
图2 术前 TTE 评估(2A为心尖四腔心切面,显示左、右心房明显增大及右心室轻度增大,房性功能性 TR,对合高度降低,三尖瓣关闭见缝隙;2B为胸骨旁右心流入道切面,显示右房室增大,室性功能性 TR,瓣叶栓系,三尖瓣关闭见较大缝隙;2C为心尖四腔心切面,彩色多普勒显示重度 TR;2D为胸骨旁右心流入道切面,彩色多普勒显示重度 TR;2E为剑突下三尖瓣短轴切面显示三尖瓣为正常的三叶瓣;2F为剑突下三尖瓣短轴切面显示三尖瓣为异常的四叶瓣,其中后叶分为二叶;2G为根据 PISA 法估测EROA 及 RVol)注:TTE为经胸超声心动图,TR为三尖瓣反流,PISA为近端等速表面积,EROA为有效反流口面积,RVol为反流容积
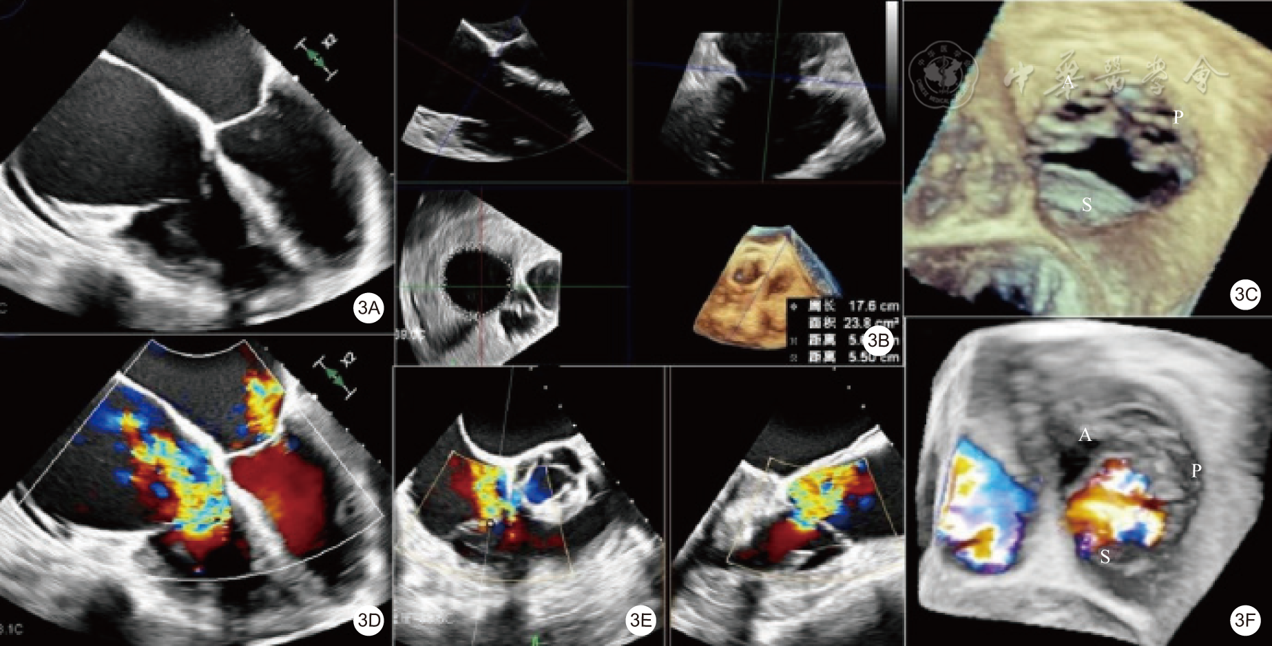
图3 术前 TEE 评估[3A为食管中段四腔心切面,显示双心房明显增大,三尖瓣关闭见缝隙;3B为根据食管中段聚焦三尖瓣环全容积显像定量评估三尖瓣环左右径、前后径、面积及周长;3C为三尖瓣三维外科视野,清晰显示前叶、后叶及隔叶,并见巨大关闭缝隙;3D为食管中段四腔心切面,彩色多普勒显示重度 TR;3E为食管中段 X-Plane 双切面(食管中段大血管短轴切面及食管中段反四腔心切面),彩色多普勒显示重度 TR;3F为三尖瓣三维外科视野,彩色多普勒显示三尖瓣中央区重度TR]注:TEE为经食管超声心动图,TR为三尖瓣反流
图4 三尖瓣与冠状动脉位置评估(4A为冠状面;4B为矢状面;4C为二维斜位重建;4D为三维重建)注:Ao为主动脉,TVA为三尖瓣环,RCA为右冠状动脉
图5 着陆区与锚定点(5A. 着陆区;5B. 锚定点)
图6 经导管三尖瓣环夹合成形系统(TTVAC)超声引导下手术流程
图7 经导管三尖瓣环夹合成形系统(TTVAC)透视引导下手术流程
[1]
Hahn RT, Badano LP, Bartko PE, et al. Tricuspid regurgitation: recent advances in understanding pathophysiology, severity grading and outcome[J]. Eur Heart J Cardiovasc Imaging, 2022, 23(7):913-929.
[2]
Wang N, Fulcher J, Abeysuriya N, et al. Tricuspid regurgitation is associated with increased mortality independent of pulmonary pressures and right heart failure: a systematic review and meta-analysis[J].Eur Heart J, 2019, 40(5):476-484.
[3]
索田源, 汪宇鹏. 三尖瓣反流介入治疗进展[J]. 中国介入心脏病学杂志, 2024, 32(10):588-595.
[4]
谢春梅, 沈梦奇, 朱达, 等. 经导管三尖瓣缘对缘修复术的应用现状[J].中国介入心脏病学杂志, 2024, 32(1):45-50.
[5]
中国医师协会心血管内科医师分会结构性心脏病学组, 苏州工业园区东方华夏心血管健康研究院. 三尖瓣反流经导管治疗的中国专家共识[J]. 中国介入心脏病学杂志, 2024, 32(10):551-561.
[6]
Singh JP, Evans JC, Levy D, et al. Prevalence and clinical determinants of mitral, tricuspid, and aortic regurgitation (the Framingham Heart Study)[J]. Am J Cardiol, 1999, 83(6):897-902.
[7]
Antunes MJ, Rodríguez-Palomares J, Prendergast B, et al. Management of tricuspid valve regurgitation: position statement of the European Society of Cardiology Working Groups of Cardiovascular Surgery and Valvular Heart Disease[J]. Eur J Cardiothorac Surg, 2017, 52(6):1022-1030.
[8]
Rodés-Cabau J, Taramasso M, O'Gara PT. Diagnosis and treatment of tricuspid valve disease: current and future perspectives[J]. Lancet, 2016, 388(10058):2431-2442.
[9]
Topilsky Y, Khanna A, Tourneau TL, et al. Clinical context and mechanism of functional tricuspid regurgitation in patients with and without pulmonary hypertension[J]. Circ Cardiovasc Imaging, 2012, 5(3):314-323.
[10]
Topilsky Y, Maltais S, Inojosa JM, et al. Burden of tricuspid regurgitation in patients diagnosed in the community setting[J]. JACC Cardiovasc Imaging, 2019, 12(3):433-442.
[11]
Condello F, Gitto M, Stefanini GG. Etiology, epidemiology, pathophysiology and management of tricuspid regurgitation: an overview[J]. Rev Cardiovasc Med, 2021, 22(4):1115-1142.
[12]
Nishimura RA, Otto CM, Bonow RO, et al. 2014 AHA/ACC Guideline for the management of patients with valvular heart disease: executive summary: a report of the American College of Cardiology/American Heart Association Task Force on Practice Guidelines[J]. Circulation, 2014, 129(23):2440-2492.
[13]
Baumgartner H, Falk V, Bax JJ, et al. 2017 ESC/EACTS Guidelines for the management of valvular heart disease[J]. Eur Heart J, 2017, 38(36):2739-2791.
[14]
Kim Y, Kwon D, Kim H, et al. Determinants of surgical outcome in patients with isolated tricuspid regurgitation[J]. Circulation, 2009, 120(17):1672-1678.
[15]
Kuwata S, Taramasso M, Nietlispach F, Transcatheter tricuspid valve repair toward a surgical standard: first-in-man report of direct annuloplasty with a cardioband device to treat severe functional tricuspid regurgitation[J]. Eur Heart J, 2017, 38(16):1261.
[16]
Gray WA, Abramson SV, Lim S, et al. 1-Year outcomes of cardioband tricuspid valve reconstruction system early feasibility study[J]. JACC Cardiovasc Interv, 2022, 15(19):1921-1932.
[17]
Hahn RT, Meduri CU, Davidson CJ, et al. Early feasibility study of a transcatheter tricuspid valve annuloplasty: SCOUT trial 30-day results[J]. J Am Coll Cardiol, 2017, 69(14):1795-1806.
[18]
Taramasso M, Alessandrini H, Latib A, et al. Outcomes after current transcatheter tricuspid valve intervention: mid-term results from the international trivalve registry[J]. JACC Cardiovasc Interv, 2019, 12(2):155-165.
[19]
Ghanta RK, Chen R, Narayanasamy N, et al. Suture bicuspidization of the tricuspid valve versus ring annuloplasty for repair of functional tricuspid regurgitation: midterm results of 237 consecutive patients[J].J Thorac Cardiovasc Surg, 2007, 133(1):117-126.
[20]
Taramasso M, Vanermen H, Maisano F, et al. The growing clinical importance of secondary tricuspid regurgitation[J]. J Am Coll Cardiol, 2012, 59(8):703-710.
[21]
Zhang X, Jin Q, Li W, et al. Transcatheter annuloplasty with the K-Clip system for tricuspid regurgitation: one-year results from the TriStar study[J]. EuroIntervention, 2025, 21(5):e262-e271.
[22]
Xu H, Chen M, Wang Z, et al. Mid-term outcomes of k-clip transcatheter tricuspid annuloplasty system in patients with severe functional tricuspid regurgitation[J]. JACC Cardiovasc Interv, 2024, 17(23):2796-2807.
[23]
Zhang X, Jin Q, Pan W, et al. First-in-human study of the K-ClipTM transcatheter annular repair system for severe functional tricuspid regurgitation[J]. Int J Cardiol, 2023, 390:131174.
[24]
Lin D, Jin Q, Miao J, et al. Transcatheter tricuspid annuloplasty in tricuspid regurgitation patients with right ventricular-pulmonary arterial uncoupling[J]. JACC Asia, 2025, 5(3 Pt 2):424-433.
[25]
Lin D, Zou L, Miao J, et al. Outcomes of K-clip implantation for functional tricuspid regurgitation accompanied with persistent atrial fibrillation[J]. J Cardiovasc Dev Dis, 2025, 12(2):55.
[26]
Zhang X, Lin D, Li W, et al. 1-Year outcomes of transcatheter tricuspid annuloplasty for patients with severe atrial functional tricuspid regurgitation[J]. JACC Cardiovasc Interv, 2024, 17(23):2843-2844.
[27]
Dreyfus J, Audureau E, Bohbot Y, et al. TRI-SCORE: a new risk score for in-hospital mortality prediction after isolated tricuspid valve surgery[J]. Eur Heart J, 2022, 43(7):654-662.
[28]
Adamo M, Russo G, Pagnesi M, et al. Prediction of mortality and heart failure hospitalization after transcatheter tricuspid valve interventions: validation of TRISCORE[J]. JACC Cardiovasc Interv, 2024, 17(7):859-870.
[29]
Lee AP, Ni Y, Lam Y. Imaging for transcatheter tricuspid annuloplasty using the K-Clip device[J]. Circ Cardiovasc Imaging, 2023, 16(6):e015033.
[30]
Yang IY, Pogatchnik BP. Computed tomography planning for transcatheter tricuspid valve interventions[J]. Semin Roentgenol, 2024, 59(1):87-102.
[31]
Park J, Kim H, Jung J, et al. Prognostic value of cardiac mr imaging for preoperative assessment of patients with severe functional tricuspid regurgitation[J]. Radiology, 2016, 280(3):723-734.
[1] 深圳市医学会乳腺病学分会, 深圳市医学会肿瘤学分会, 深圳市医师协会乳腺专科医师分会, 深圳市健康管理协会乳房健康与康复管理专业委员会, 深圳市抗癌协会乳腺癌专业委员会, 深圳市抗癌协会肿瘤放射治疗专业委员会, 深圳市中西医结合学会甲状腺乳腺病专业委员会. 乳腺癌新辅助治疗的疗效预测和疗效评价专家共识(2025版)[J/OL]. 中华乳腺病杂志(电子版), 2025, 19(06): 321-330.
[2] 北京人体损伤修复研究会创面规范化治疗专家共识组. 创面换药疼痛控制专家共识[J/OL]. 中华损伤与修复杂志(电子版), 2025, 20(06): 467-475.
[3] 国家骨科医学中心保膝联盟, 中国老年保健协会骨关节保护与健康分会, 单髁置换术后感染抗生素使用专家共识工作组. 单髁置换术后假体周围感染的抗生素使用专家共识(2025版)[J/OL]. 中华损伤与修复杂志(电子版), 2025, 20(06): 476-489.
[4] 中国妇幼保健协会儿童变态反应专业委员会, 《儿童皮肤创面诊疗专家共识(2025版)》编写组. 儿童皮肤创面诊疗专家共识(2025版)[J/OL]. 中华损伤与修复杂志(电子版), 2025, 20(05): 374-383.
[5] 《生长因子在Ⅱ度烧伤创面治疗中应用专家共识(2024版)》编写组. 生长因子在Ⅱ度烧伤创面治疗中应用专家共识(2024版)[J/OL]. 中华损伤与修复杂志(电子版), 2025, 20(04): 277-283.
[6] 中国研究型医院学会机器人与腹腔镜外科专业委员会, 《中华消化外科杂志》编辑委员会. 完全单孔腹腔镜胃癌手术操作专家共识(2025版)[J/OL]. 中华普通外科学文献(电子版), 2025, 19(04): 217-224.
[7] 中华医学会外科学分会腹腔镜与内镜外科学组, 中国抗癌协会胃癌专业委员会, 中国抗癌协会腔镜与机器人外科分会, 《中华消化外科杂志》编辑委员会. 精准外科胃癌转化治疗专家共识(2025 版)[J/OL]. 中华普通外科学文献(电子版), 2025, 19(03): 145-156.
[8] 中国肝移植注册中心, 国家肝脏移植质控中心, 国家人体捐献器官获取质控中心, 国家骨科与运动康复临床研究中心, 中国医师协会器官移植医师分会移植器官质量控制专业委员会, 中国医院协会器官获取与分配工作委员会, 国家创伤医学中心器官保护专业委员会. 中国移植器官转运专家共识[J/OL]. 中华移植杂志(电子版), 2025, 19(03): 131-137.
[9] 中国康复医学会特殊环境作业损伤防治与康复专业委员会. 高原低压低氧环境下骨关节炎相关慢性继发性肌肉骨骼疼痛管理专家共识[J/OL]. 中华肺部疾病杂志(电子版), 2025, 18(05): 665-672.
[10] 中国医师协会妇产科医师分会, 中国妇幼保健协会妇科智能医学专业委员会. 远程控制机器人辅助妇科手术中国专家共识(2025版)[J/OL]. 中华腔镜外科杂志(电子版), 2025, 18(05): 257-263.
[11] 中华医学会妇产科分会妇科内镜学组. 机器人辅助单孔妇科手术中国专家共识(2025年版)[J/OL]. 中华腔镜外科杂志(电子版), 2025, 18(04): 193-197.
[12] 中国医师协会结直肠肿瘤专业委员会. 结直肠癌卵巢转移诊疗专家共识(2025版)[J/OL]. 中华结直肠疾病电子杂志, 2025, 14(04): 307-318.
[13] 世界华人神经外科协会颅脑创伤专业委员会, 颅骨缺损修补术专家共识协作组. 颅骨缺损修补术专家共识(2025版)[J/OL]. 中华神经创伤外科电子杂志, 2025, 11(04): 210-219.
[14] 严秋萍, 周慧, 施萍, 杨玲, 杨道平, 刘利香, 中国医师协会儿科医师分会心血管专委会护理学组. 中国儿童心血管植入性电子器械围术期护理专家共识[J/OL]. 中华介入放射学电子杂志, 2025, 13(04): 288-295.
[15] 中国医师协会介入医师分会妇儿介入专委会工作组. 子宫输卵管造影中国专家共识(2025版)[J/OL]. 中华介入放射学电子杂志, 2025, 13(04): 282-287.
阅读次数
全文


摘要


AI


AI小编
你好!我是《中华医学电子期刊资源库》AI小编,有什么可以帮您的吗?